Outils pour utilisateurs

Outils du site


wiki:projets:projet_glomus

Inoculation mycorhizienne sur terre agricole

Par Thomas Chalaux, Antoine Auvergne, Isaure Rous et Pierre Duquesne.

Introduction

Suite aux pratiques de l’agriculture moderne, les terrains agricoles possèdent une faible diversité biologique ce qui mène à l’utilisation intensive des produits phytosanitaires ainsi qu’au processus de désertification des sols. Lorsque les agriculteurs passent à l’agriculture biologique, ils subissent cette pauvreté des sols, qui se traduit par d’importantes chutes de production. Récupérer une diversité biologique proche de l’état naturel prend environ 20 ans. Nous développons une technique d’inoculation rapide des terrains agricoles pour rétablir une diversité naturelle plus rapidement, en minimisant la perte de production due au passage à l’agriculture biologique.

I — Production de spores mycorhiziens

A - Culture

Nous utiliserons la technique de production de spores mycorhiziens développée parl'INRA Antilles-Guyane.

Nous avons prélevé plusieurs inoculi sur des graminées sauvages dans différents biotopes : forêt, jardin, bord de route, terrain vague et au bord d’une champ cultivé intensivement.

Les plantes multiplicatrices sont du blé rouge de Bordeaux ainsi que du Sarrasin (plante ne formant pas d'endomycorhize). Entre les céréales sont semées des graines de trèfle blanc nain.

B - Suivi de la croissance des céréales

Chaque semaine, on prélève aléatoirement 4 plants dans chaque condition de culture.

On nettoie les racines pour retirer la terre résiduelle. On positionne les plants sur une feuille blanche, on place une échelle pour la mesure, ici un mètre de chantier. On veille à bien étendre les racines et les feuilles/thalles pour optimiser l’observation. Les photographies sont prises à la verticale au dessus des feuilles. Les mesures sont réalisées à l’aide du logiciel Fidji.

<fc #4682b4>1 - Éléments mesurés</fc>

On répertorie les éléments suivants :

- Nombre de nœuds;

- Mesure de la taille de chaque entre-nœud;

- Mesure de la plus longue racine (blé) ou de la racine principale (sarrasin);

- Mesure du la longueur totale, de l’extrémité de la plus longue racine jusqu’au dernier nœud.

Uniquement pour le blé :

- Comptage du nombre de thalles; - Mesure de la longueur des thalles. On considère un thalle à partir du moment où l’on peut distinguer le ligule.

Cela nous permet de comparer la croissance des cultures en fonction des types d’inoculation.

<fc #008000>Figure 1: Plants de blé sur inoculation de terrain vague à 25 jours.</fc> Figure 1: Plants de blé sur inoculation de terrain vague à 25 jours.

C - Mesure de l’avancement de la mycorhization

Toutes les 2 semaines nous analysons l’évolution de la mycorhization pour chaque condition de culture. Après prélèvement des individus nous les conservons en condition non desséchantes. On les place avec un coton humide dans un sac plastique fermé hermétiquement.

<fc #6495ed>1 - Coloration</fc>

On observe la mycorhization par coloration, selon le protocole de Phillips et Haymann (1970). Pour les différentes solutions nous utiliserons à chaque fois 5 ml par tube. Nous préparons alors les quantités de solution adéquates.

<fc #87ceeb>a - Solution de potasse à 10%</fc>

Pour 35 ml, 5 ml par tube pour 6 tubes et 5ml de marge d’erreur. On prélève 3,5 ml de solution mère de potasse à 1M à l’aide d’une pipette graduée 5 ml. On dépose dans un falcon 50 ml. On ajoute 31,5 ml d’eau distillée, 30 ml à l’aide d’une éprouvette graduée 50 ml et 1,5 ml à la pipette graduée 2 ml.

<fc #87ceeb>b - Solution d’eau acidifiée à 2%</fc>

Pour 50 ml. On prélève 4,35 ml d’acide chlorhydrique, 4 ml à la pipette graduée 5 ml et 350 µL à la micropipette P1000. On place dans un falcon 50 ml. On ajoute 45,65 ml d’eau distillée, 45 ml à l’aide d’une éprouvette graduée 50 ml et 650 µL à la P1000.

<fc #87ceeb>c - Bleu de coton acétique à 1%</fc>

Pour 50 ml. Dans un falcon 50 ml, on place 0,5 g de bleu de méthyle et 0,5 g d’acide acétique glacial pesé à l’aide d’une balance de précision. On ajoute un peu l’eau distillée on mélange, puis l’on ajoute le reste d’eau distillée jusqu’à la graduation.

<fc #87ceeb>d - Lactogycérol</fc>

Pour 30 ml. Dans un falcon 50 ml, on dépose 10 ml d’eau distillée, de glycérine et d’acide lactique, prélevés à l’aide d’une pipette graduée 10 ml.

<fc #87ceeb>e - Protocole</fc>

Le protocole est le suivant : - A l’aide de ciseaux, tailler les racines en petits bouts, < 1 cm. Conserver les radicelles les plus fines.

- Dans des tubes on place les racines et 5 ml de potasse à 10%. On place au bain-marie à 90°C durant 12 min.

- Filtrer sur papier filtre. Rincer avec 5 ml d’eau acidifiée.

- Rincer les tubes à l’eau distillée. Y replacer les racines, ajouter 5 ml de bleu de coton acétique. Placer au bain-marie 10 min.

- Filtrer sur papier filtre et rincer plusieurs fois (5) à l’eau distillée.

- Placer les racines dans une boite pétri remplie d'eau distillée.

- Prélever des racines, les sécher sur du papier absorbant.

- Monter entre lame et lamelle avec du lactoglycérol. Luter avec du vernis à ongle.

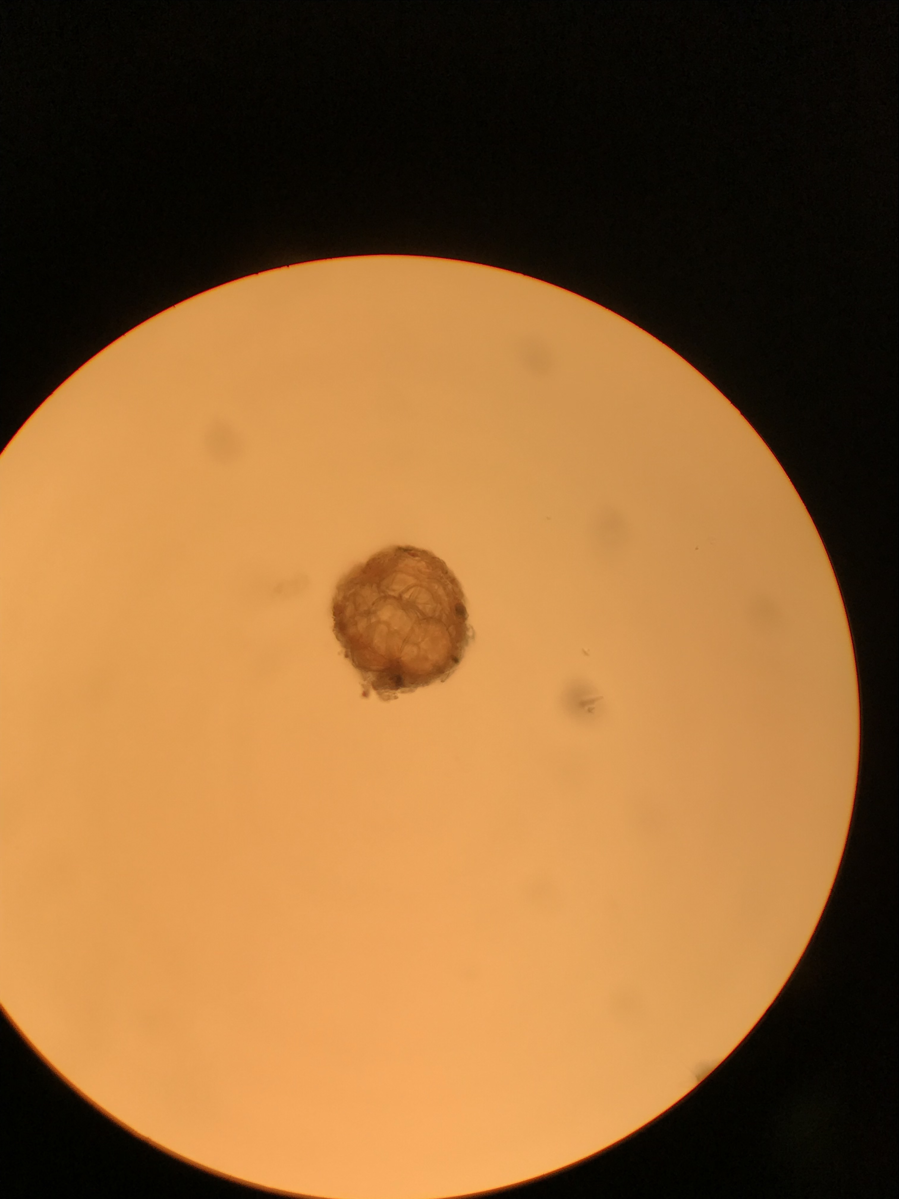
<fc #008000>Figure 2: Montage complet d'une racine de blé colorée au bleu de coton à 44 jours.</fc> Figure 2: Montage complet d'une racine de blé colorée au bleu de coton à 44 jours.

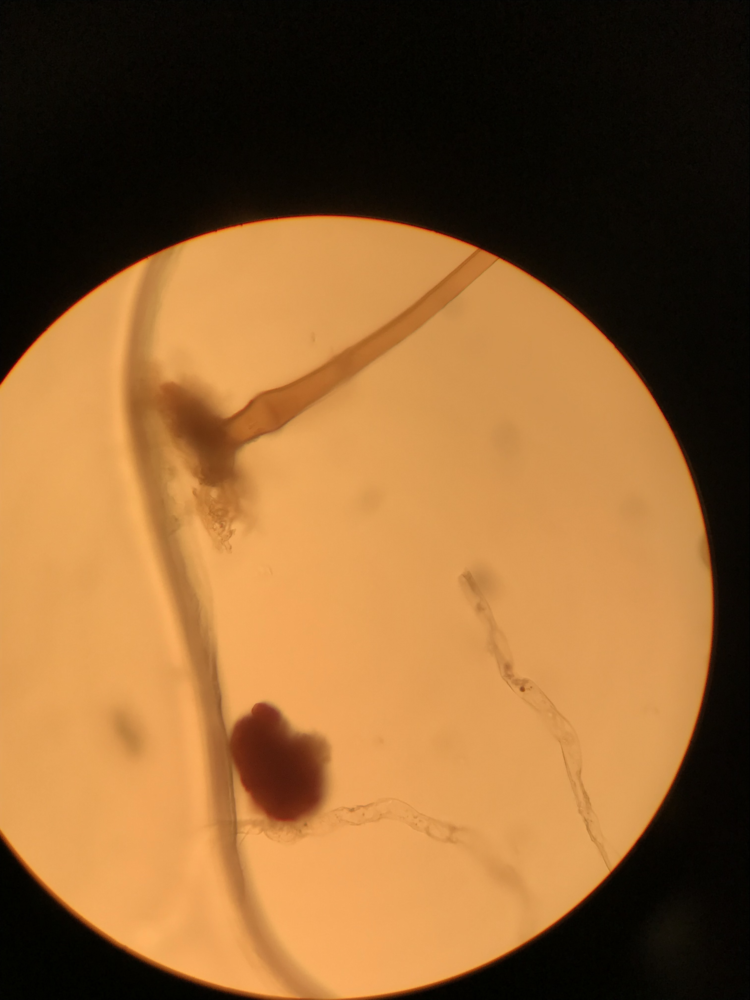
<fc #008000>Figure 3,4,5,6,7,8,9: Structures mycéliennes chez des plantules de blé de 53 jours.</fc> Figure 3: Hyphes cloisonnés intra-radiculaire d'une racine de blé à 53 jours. Figure 4: Hyphes cloisonnés intra-radiculaire d'une racine de blé à 53 jours. Figure 5: Vésicule et hyphe cloisonné intra-radiculaire d'une racine de blé à 53 jours. Figure 6: Hypopodium et hyphe intra-radiculaire d'une racine de blé à 53 jours. Figure 7: Hyphe extra-radiculaire autour d'une racine de blé à 53 jours. Figure 8: Hyphe extra-radiculaire à aspect "granuleux" autour d'une racine de blé à 53 jours. Figure 9: Structure fongique non déterminée

<fc #008000>Figure 10: Structures mycéliennes chez des plantules de blé de 61 jours..</fc> Figure 10: Hyphes intra-radiculaire et vésicule (?) mycorhiziens dans le cortex racinaire d'un plan de blé de 61 jours. Figure 11: Vésicule(?) mycorhizienne dans le cortex racinaire d'un plan de blé de 61 jours jours. Figure 12: Hyphes intra-radiculaire et vésicule/spore (?) mycorhiziens dans le cortex racinaire d'un plan de blé de 61 jours. Figure 13: Vésicule(?) mycorhizienne en cours de formation dans une cellule du cortex racinaire d'un plan de blé de 61 jours. Figure 14: Vésicule mycorhiziennes et vésicule en cours de formation dans le cortex racinaire d'un plan de blé de 61 jours.

On remarque fréquemment des hyphes cloisonnés, ce sont des pseudomycorhizes à endophytes bruns cloisonnés. Ces champignons appartiennent au groupe des ascomycètes. Ils forment alors des asques (photo 12) qui contiennent généralement 4 à 8 spores. On ne connait pas encore le rôle qu'occupe ces mycorhizes avec les plantes non ligneuses. Car, les Ascomycètes forment des mycorhizes avec les ligneux (arbres) sous forme d'ectomychorizes. La forme de transition “ectendomycorhize”, retrouvée chez les Ascomycètes et les Basidiomycète, montre la grande plasticité des mycorhizes. Il est alors possible que la forme “pseudomycorhize”, soit la forme d'association ente les Ascomycètes et les espèces herbacées.

Il faut garder à l'esprit que l'association mycorhizienne est une balance entre la symbiose et le parasitisme. Lorsque les conditions sont défavorables l'association est positive pour les deux partis mais quand les conditions sont trop favorables (sols trop riches) le champignon se comporte comme un parasite. Les plantes formant de mycorhizes avec une grand nombre de champignon en même temps, elles ne retirent pas forcement que du positif de toutes ces associations à un moment t. Certaines associations peuvent être favorables lors d'un stress hydriques quand d'autres le seront face à un ravageur (infect, champignon). C'est pour cela qu'une grande diversité de symbiote est primordiale. La plante doit posséder un maximum d'outils pour se protéger et retirer les nutriments dont elle a besoin. Ici, nous ne nous intéressons pas aux communautés de microorganismes unicellulaires mais elles sont tout aussi importantes. Les plant Growth Promoting Bacteria (PGPB) sont reconnus pour leurs effets positifs sur la croissance, mais d'autres peuvent être de très bonnes anti-bactériennes ou anti-insectes.

Matériels utilisés :

- ciseaux

- tubes à essai

- bain-marie à 80°C

- papier filtre

- vernis à ongle transparent

- micropipette (P1000)

- Pipette pisteur

- lame, lamelle

- microscope optique

Produits chimiques : - Eau distillée

- KOH (potasse) à 1M

- Acide chlorhydrique domestique à 23%

- Bleu de méthyle en poudre

- Acide acétique glacial

- Acide lactique

- Glycérine

Remarques :

Il faut veiller à la température du bain-marie. Plusieurs fois nous avons du re-régler la température qui avait diminuée passant de 90°C à 80°C.

Les tubes à essai que nous utilisions sont trop grands (160 mm), de plus petits tubes seraient plus pratiques à manipuler. Il est difficile de placer les racines au fond des tubes et elles restent parfois coincées au fond lorsque l'on renverse les tubes.

Un bain de KOH de 12min suffit pour décolorer les racines de blés qui sont claires initialement. Les racines sarrasins, plus sombre, nécessitent un temps plus long à déterminer.

Suite à la coloration les racines doivent être rincées plusieurs fois à l'eau distillée car le colorant est très puissant et continue à diffuser si l'on rince pas suffisamment. Rincer 5 fois plus placer dans des boites pétri avant de monter semble minimiser la diffusion.

D - Sporulation et récolte

On souhaite isoler les spores produits dans le substrat de culture. On isole alors la terre utilisée.

<fc #87ceeb>a - Protocole</fc>

Pour isoler les spores on suit le protocole proposé par Jean Garbaye dans La symbiose mycorhizienne, une association entre plante et champignon (Quæ 2013, pages 203-204).

1 - Mélanger sucre et eau suivant le rapport : 60g de sucre pour 100 g d’eau. — Solution 1

2 - On pèse 10 g de terre.

3 - On place la terre sur le tamis n°1.

4 - On arrose sous un léger filet d’eau jusqu’à ce que l’eau qui coule soit claire.
On peut mélanger un peu la terre en secouant le tamis, sans jamais toucher la terre. On peut aussi retirer les gros débris s’ils gênent.

4 - Récupérer le filtrat, le passer doucement sur le tamis n°2.

5 - On arrose sous un léger filet d’eau jusqu’à ce que l’eau qui passe soit claire.

6 - On récupère le dépôt dans un récipient en retournant le tamis et en l’arrosant. On essaye de limiter le volume d’eau utilisé.

7 - On mélange la solution avant de prélever la moitié du volume des tubes de centrifugation.

8 - On laisse reposer 5 min.

9 - A l’aide d’une pipette/seringue, on dépose la moitié du volume des tubes de centrifugation de solution sucrée 1 au fond du tube.

10 - Centrifuger 2 min à 3000 tours/min.

11 - A l’aide d’une pipette/seringue, aspirer en commençant par la zone juste au dessus de la délimitation eau/eau sucrée jusqu’à finir au dessus du culot.

12 - Placer sur le tamis 2 à l’eau claire pour retirer le sucre.

13 - Récupérer le dépôt comme à l’étape 7 en utilisant seulement 10 ml d’eau.

On passe le vortex au mélange pour re-suspendre les spores. On prélève 1 ml que l’on dépose sur une cellule de Malassez (ou plaque analogue). On détermine le nombre de spore par millilitre, puis pour les 10 g de terre de la manière suivante : 
Concentration (1 ml) * volume (1 ml) * 10 = nombre de spore dans 10 ml
Nombre de spore dans 10 ml = nombre de spores dans 10 g de terre
On ramène la valeur de 10 g de terre à 100 g, pour respecter les publications.

<fc #87ceeb>b - Observations</fc>

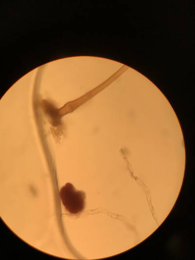
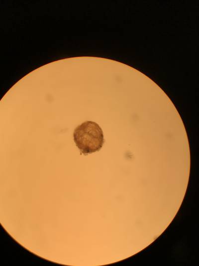
Les structures suivantes ont été observée suite à l'extraction de la terre de culture de blé. Structure supposée fongique à l'allure de mure Structure supposée fongique à l'allure de mure En bas un spore et traversant orangé un hyphe non cloisonné Structure ressemblant à un arbuscule

Les structures suivantes ont été observée suite à l'extraction de la terre de culture de sarrasin. Hyphe non cloisonné accroché à un "spore" éclaté

Matériels utilisés :

- tamis 800 µm

- tamis 40 µm

- Un grand récipient, type Erlenmeyer

- entonnoirs

- eau en quantité non limitante

- Pipettes fines

- Tube de centrifugation

- sucre blanc

- loupe binoculaire / microscope

- Centrifugeuse

LDAP: couldn't connect to LDAP server
wiki/projets/projet_glomus.txt · Dernière modification: 2019/05/12 19:33 de projet_glomus